Bicarbonat Si Lamaie Tratament Paradontoza

Miercuri 11 septembrie 2013.
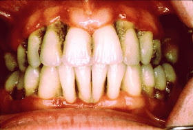
Bicarbonat si lamaie tratament paradontoza. Remedii naturiste cu bicarbonat de sodiu cu lămâie lămâia are multă vitamina c vitamina b riboflavină potasiu magneziu calciu fosfor proteine și carbohidrați. Este numită științific parodontopatie marginală şi se referă la îmbolnăvirea parodonțiului marginal aparatul de susținere a dinților în oasele maxilare reprezentat de gingii. în combinația bicarbonat de sodiu la lămâie beneficiile cresc deoarece nivelul ph ului din corpul vostru va reveni la normal reducând aciditatea. Pur si simplu am baut zilnic timp de 30 de zile acest amestec fara sa il tin in gura.
Este vorba despre sucul de lamaie amestecat cu bicarbonat de sodiu si apa. Pur si simplu am baut zilnic timp de 30 de zile acest amestec fara sa il tin in gura. Apa cu bicarbonat este recomandata in cancer si pentru alcalinizare iar extern pentru ten acnee riduri psoriazis cistita. Intr un pahar de 200 de ml de apa am stors sucul de la 2 lamai si am adaugat un sfert de lingurita de bicarbonat.
Afecţiunea se manifestă la nivelul gingiilor însă dacă boala avansează atunci distruge rădăcina dinţilor iar în timp se poate ajunge la pierderea lor definitivă. Iată câteva leacuri pentru paradontoză care te pot scăpa de probleme. Paradontoza este o afecţiune care poate apărea la toate vârstele. Remediul este simplu ieftin si natural.
Reteta pentru sanatate si detoxifiere cu lamaie si bicarbonat de sodiu impreuna lamaia si bicarbonatul de sodiu ajuta la lupta impotriva celulelor canceroase dar si a altor boli din organism ajutand trupul sa isi gaseasca propria abilitate de a restabili echilibrul si de a se curata de ceea ce a cauzat boala de la inceput. Insa doar dentistii pot spune cu precizie daca periuta de dinti a fost folosita ca la carte. De tinut minte acest tratament cu bicarbonat. Usturoi miere lamaie si bicarbonat se lasa la macerat 8 10 zile dupa care se iau 3 lingurita pe zi timp de o luna si va spun sincer ma simt foarte bine.
Un periaj corect compleaza efectul benefic al acestor substante. Se fac spalaturi cu ceai de musetel si bicarbonat pentru infectii urinare. Chiar si mai interesant este faptul ca acest tip de tratament cu bicarbonat de sodiu lamaie distruge doar celulele canceroase. Paradontoza nu ţine cont de vârstă aşa că s a demonstrat că poate afecta tinerii dar mai ales pe cei trecuţi de 40 de ani.
Intr un pahar de 200 de ml de apa am stors sucul de la 2 lamai si am adaugat un sfert de lingurita de bicarbonat. Dacă este netratată poate duce la piederea dinților uneori chiar la vârste tinere. Este vorba despre sucul de lamaie amestecat cu bicarbonat de sodiu si apa. Terapia cu bicarbonatul de sodiu beneficii.
Remediul este simplu ieftin si natural. Periajul trebuie facut dupa fiecare masa principala.